Räumlichkeiten | Leistungen | Ausstattung

Unsere Klinik: Ausstattung

Für diese Leistungen verfügen wir über alle modernen Geräte und Hilfsmittel. Wir bieten die Möglichkeit zur digtalen Röntgenuntersuchung, Durchleuchtungs- und Ultraschalldiagnostik sowie Endoskopie (einschließlich Arthroskopie und Laparoskopie) mit unterschiedlichen starren und flexiblen Endoskopen.
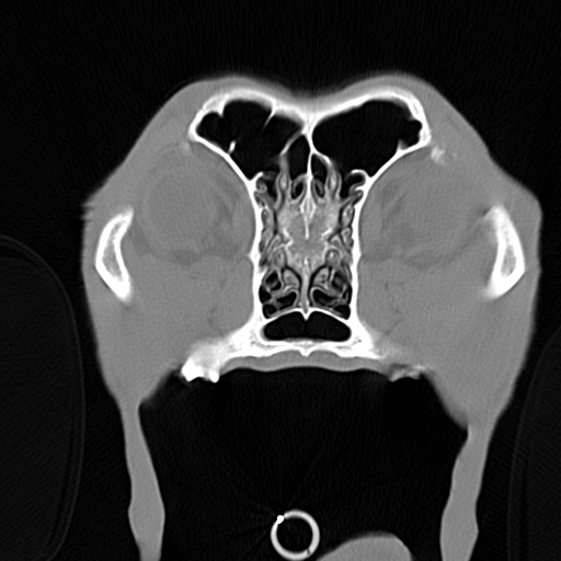
Mit einem der modernsten Computertomographen von Siemens können wir alle Indikationen für CT abdecken. Mit einem Vertragspartner können wir MRI-Untersuchungen durchführen.
Im hauseigenen Labor werden alle wichtigen Laborparameter sofort bestimmt. Inhalationsnarkose, umfangreiches Monitoring sowie kontrollierte Beatmung bieten ein hohes Maß an Narkosesicherheit - auch bei Alters- und Risikopatienten.
Insgesamt stehen 18 Plätze zur stationären Unterbringung zur Verfügung.

 

Digitales Röntgen Intensivpflege-Inkubator OP-Vorbereitungssaal Laserbehandlung des Zahnfleisches beim Hund Laserbehandlung Physiotherapie Therapie im Unterwasserlaufband Digitales Röntgen OP-Saal OP-Monitor Reizstrom beim Hund OP-Vorbereitungssaal Computertomographie Computertomograph Computertomographie
Unsere Ausstattung
Fachtierarzt-Zentrum für Kleintiere
Dr. Bodo Kröll & Kollegen
99091 Erfurt-Gispersleben
Telefon: (03 61) 7 91 22 04
email: praxis@kleintierklinik-kroell.de